previous
up
next

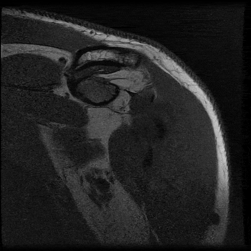
From front to back. This is my left shoulder, so it's as if I'm facing you directly.